Vasculite Primária do Sistema Nervoso Central (VPSNC): Uma Revisão
Epidemiologia e Apresentação Clínica:
- A incidência anual é estimada em 2,4 casos por 1 milhão de pessoas-ano.
- Afeta todas as idades, com prevalência semelhante em ambos os sexos.
- A mortalidade varia de 8% a 23%, com uma proporção significativa de pacientes apresentando deficiência grave.
- A apresentação clínica é variável e frequentemente imita outras condições neurológicas.
- Os sintomas iniciais comuns incluem déficits neurológicos focais de início súbito (sugestivos de acidente vascular cerebral/ataque isquêmico transitório), cefaleia, declínio cognitivo progressivo e encefalopatia aguda/subaguda.
- Apresentações menos comuns incluem convulsões, hemorragia intracerebral/subaracnóidea e lesão medular
.
Subtipos e Achados Patológicos:
Os autores propõem dois subtipos de VPSNC com base no tamanho do vaso:
- Vasculite de pequenos vasos: As angiografias são tipicamente normais, necessitando de biópsia tecidual para diagnóstico. A relacionada a Aβ, caracterizada pela deposição de Aβ e inflamação transmural, pode representar um subtipo ou ser uma entidade separada. A RM mostra hiperintensidades da substância branca subcortical focais, multifocais ou difusas, realce leptomeníngeo e micro-hemorragias córtico-subcorticais.
- Vasculite de vasos médios e grandes: Demonstra realce concêntrico segmentar da parede do vaso em RM de alta resolução. A angiografia é útil, mas menos sensível que a biópsia. Existem três padrões histopatológicos principais: vasculite granulomatosa (mais comum), linfocítica e necrosante.
Diagnóstico:
O diagnóstico é desafiador devido às características clínicas inespecíficas e às limitações da imagem diagnóstica.
- Biópsia: Permanece o padrão-ouro para diagnóstico definitivo, mas a sensibilidade é baixa (30-50% positiva em alguns estudos) devido à distribuição irregular das lesões vasculares. A direcionamento de áreas com achados de imagem anormais melhora o rendimento.
- Angiografia (DSA, MRA, TC Angiografia): Menos sensível que a biópsia, particularmente para pequenos vasos. A estenose segmentar, a dilatação pós-estenótica e o aspecto “em contas de rosário” são sugestivos, mas não específicos. A RM de alta resolução mostrando realce da parede do vaso pode melhorar o rendimento diagnóstico, mas precisa de mais validação.
- Análise do LCR: Pode mostrar discreta pleocitose e aumento de proteínas, mas não é específico e também pode ser anormal em outras condições.
Diagnóstico Diferencial: É crucial diferenciar a VPSNC da síndrome de vasoconstrição cerebral reversível, aterosclerose intracraniana, linfoma intravascular, doença de moyamoya, vasculite sistêmica e vasculite infecciosa.
Tratamento e Resultados:
- O tratamento atual se baseia em estudos de coorte retrospectivos e na experiência com outras vasculites.
- O tratamento de primeira linha geralmente envolve altas doses de glicocorticoides, frequentemente combinados com ciclofosfamida (para casos graves ou recorrentes) ou micofenolato de mofetil (uma alternativa menos tóxica).
- A terapia de manutenção com micofenolato de mofetil ou azatioprina é recomendada após a terapia de indução.
- Os resultados são variáveis; as taxas de remissão variam de 68% a 95% com terapia de indução, enquanto as taxas de remissão a longo prazo são menores. Os fatores que afetam o prognóstico incluem idade, presença de disfunção cognitiva ou comprometimento da medula espinhal na apresentação, tamanho do vaso afetado e atraso no diagnóstico.

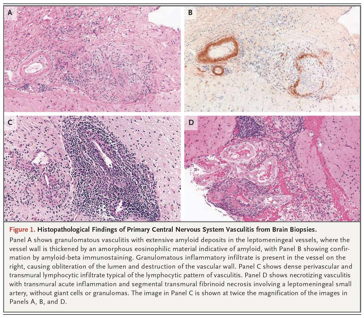
Figura 1: Achados Histopatológicos da Vasculite Primária do Sistema Nervoso Central em Biópsias Cerebrais
Esta figura apresenta quatro micrografias mostrando diferentes padrões histopatológicos de VPSNC obtidos através de biópsias cerebrais:
- Painel A e B: Mostram vasculite granulomatosa com extensa deposição amilóide nos vasos leptomeníngeos. O painel B confirma a deposição amilóide através de imunohistoquímica para beta-amilóide. Observa-se espessamento da parede vascular por material eosinofílico amorfo, com infiltrado inflamatório granulomatoso.
- Painel C: Mostra vasculite linfocítica com denso infiltrado linfocitário perivascular e transmural. Este padrão é caracterizado pela infiltração de linfócitos sem a formação de granulomas.
- Painel D: Exibe vasculite necrosante com necrose fibrinóide transmural em uma pequena artéria leptomeníngea, sem células gigantes ou granulomas.

Figura 2: Imagens em um Paciente com Vasculite Primária do Sistema Nervoso Central
Esta figura apresenta imagens de ressonância magnética (RM) e angiografia em um paciente com VPSNC:
- Painéis A e B: Angiografia por ressonância magnética (ARM) e angiografia por subtração digital (ASD) mostram estenose e dilatação alternadas da artéria cerebral anterior esquerda e da artéria cerebral média esquerda. Essas imagens demonstram a alteração característica da parede vascular em um padrão segmentar.
- Painéis C e D: Imagens de parede vascular em RM de alta resolução antes (C) e depois (D) da administração de gadolínio mostram realce na parede vascular, consistente com inflamação na artéria cerebral média direita. Isso evidencia a inflamação da parede vascular.
- Painel E: Imagem de RM com ponderação de difusão mostra um infarto recente.
- Painel F: Imagem de RM ponderada em T2 com supressão de líquido mostra infartos crônicos na distribuição da artéria cerebral média direita. As lesões antigas são evidenciadas pela alteração de sinal crônico.
Em resumo, as figuras demonstram a heterogeneidade histopatológica da VPSNC, com diferentes padrões inflamatórios, e a variedade das alterações vasculares visíveis por imagem, incluindo estenose, dilatação e infartos cerebrais, com realce da parede vascular na RM de alta resolução, indicando inflamação ativa. A correlação entre os achados histopatológicos e radiológicos é essencial para o diagnóstico preciso da doença.



