#RM #MRI #VWI #placa #aterosclerose #métodosavançados
Olá, neuroskyer! Hoje vamos discutir um artigo importante publicado na AJNR este mês, que define as diretrizes para a imagem da placa carotídea e discorre sobre seu impacto no tratamento. Trata-se de uma publicação multicêntrica e internacional que se propõe a atualizar o conhecimento sobre o assunto.
Atualmente, as diretrizes que tratam da prevenção primária e secundária do AVC nos pacientes com aterosclerose baseiam-se na quantificação do grau de estenose e na presença ou ausência de sintomas relacionados. No entanto, estas orientações baseiam-se em estudos realizados antes do advento do estudo de paredes vasculares por RM (vessel wall imaging – VWI) e da angiotomografia (angioTC) de alta resolução. Publicações recentes já demonstraram que a morfologia e a composição da placa aterosclerótica, independente do grau de estenose, são importantes na estratificação do risco desta doença. Desta forma, o artigo em questão discute se as diretrizes atuais devem ser atualizadas com as evidências mais novas, bem como discorre sobre os limites da imagem do lúmen vascular.
O AVCi é uma das maiores causas de morbidade e mortalidade no mundo, e cerca de 20% dos pacientes com AVC/AIT têm uma estenose carotídea ipsilateral > 50%, sendo que de 10% de todos os pacientes com AVC não apresentam sintomas premonitórios (tais como AITs). A estenose carotídea é reconhecidamente um fator de risco para o AVCi, e determinar as melhores práticas de prevenção primária e secundária para pacientes assintomáticos e sintomáticos é primordial.
Desde que foi publicado o estudo NASCET, que demonstrou a associação entre estenoses carotídeas de alto grau e prognóstico, uma evolução significativa ocorreu tanto nas técnicas cirúrgicas quanto no tratamento clínico. O risco de complicações da revascularização diminuiu, sobretudo durante a endarterectomia carotídea, assim como caiu o risco de mortalidade. Adicionalmente, vários trials forneceram evidências reforçando as medidas de tratamento clínico, tais como os efeitos protetores de estatinas em altas doses e terapias anti-inflamatórias. Metanálises recentes demonstram que é possível reverter a aterosclerose (fazer regredir a placa) com terapia antilipêmica em altas doses, que pode inclusive transformar uma placa vulnerável com alto conteúdo lipídico em uma placa calcificada, mais estável. A imagem da placa carotídea pode, portanto, refletir seu risco, permitindo uma seleção mais custo-efetiva das opções terapêuticas.

RESUMO DAS DIRETRIZES ATUAIS
Atualmente, a seleção do tratamento das estenoses carotídeas é baseada no grau da estenose (moderada se entre 50-69%, severa se entre 70-99%) em conjunto com a presença ou ausência de sintomas e o risco cirúrgico, baseando-se nos resultados do estudo NASCET. Desta forma, a maioria das diretrizes em uso hoje em dia não considera a morfologia e composição da placa como parâmetro para a seleção do tratamento, embora já haja literatura robusta apoiando o impacto da imagem da placa carotídea na demonstração de sua vulnerabilidade em pacientes sintomáticos e assintomáticos com estenoses discretas, bem como o benefício do tratamento conservador para estabilização e reversão da placa, indicando a necessidade da mudança dos próximos guidelines.
Existem basicamente 4 cenários:
- Paciente assintomático com risco cirúrgico médio e estenose
- Paciente assintomático com alto risco cirúrgico (devido a comorbidades, anatomia vascular ou outras razões) e estenose
- Paciente sintomático com risco cirúrgico médio e estenose
- Paciente sintomático com alto risco cirúrgico e estenose
A Sociedade Europeia de Cirurgia Vascular e a Sociedade Europeia de Cardiologia desenvolveram recomendações para pacientes assintomáticos, recomendando que a morfologia da placa deva ser considerada. A endarterectomia carotídea é indicada na presença de uma ou mais características de imagem associadas a alto risco de AVC em indivíduos assintomáticos.
EVIDÊNCIAS DE QUE A IMAGEM DA COMPOSIÇÃO DA PLACA PREDIZ O RISCO DE AVCi
– Histopatologia da placa instável
As evidências de patologia e imagem acumuladas nos últimos anos demonstraram que a composição da placa ateromatosa tem correlação com seu grau de vulnerabilidade.
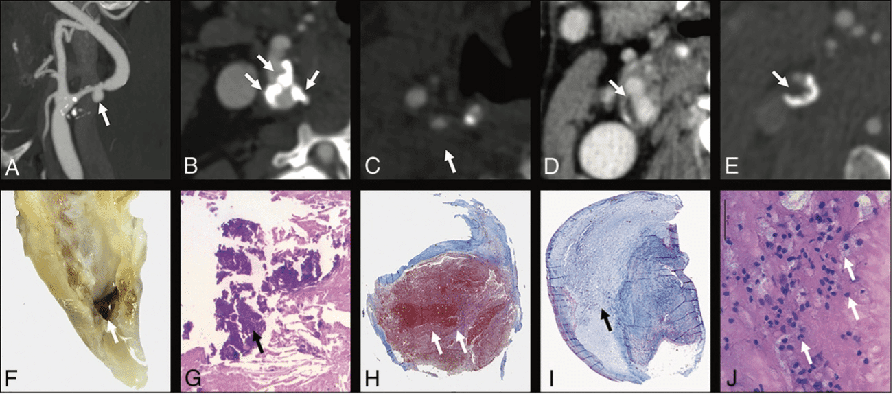
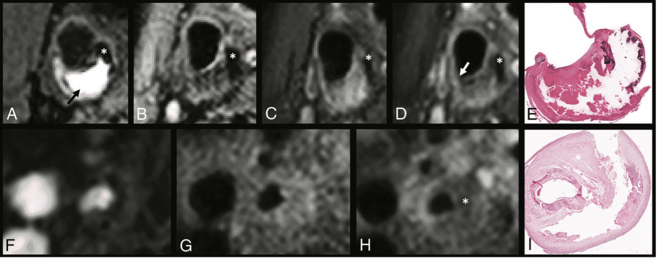
A associação entre estenose carotídea e AVCi foi estabelecida há mais de 70 anos, hoje em dia sabendo-se que a rotura da cápsula fibrosa e o tromboembolismo estão intimamente relacionados, e a identificação da hemorragia intraplaca é um marcador de placas causadoras de sintomas recentes.
Como regra geral, estudos histopatológicos mostraram que as placas vulneráveis são caracterizadas por cápsula fibrosa afilada ou rota, erosões endoteliais, inflamação, núcleo lipídico / necrótico (“lipid-rich necrotic core” – LNRC), presença de neovascularização e hemorragia intraplaca, destacando-se que a posição do LNRC e do afilamento da cápsula fibrosa estão intimamente ligados ao risco de rotura da placa. As placas estáveis e assintomáticas tipicamente contêm mais tecido fibrótico e calcificações.

– Vulnerabilidade da placa em pacientes sem estenose ou com estenose discreta
Os métodos que analisam apenas o lúmen das artérias tendem a subestimar a extensão da doença aterosclerótica, pois o diâmetro do lúmen pode ser conservado quando há remodelamento positivo da parede vascular, que pode ainda ser acentuado pela anatomia do bulbo carotídeo. Pacientes com graus menores de estenose representam uma significativa porcentagem das vítimas de AVCi: no estudo NASCET, mais de 40% dos pacientes que sofreram um AVCi tinham estenoses menores que 50%. Enquanto a prevalência estimada de estenoses ≥ 50% na população geral é de 2-8%, a prevalência de estenoses ≥ 80% é de apenas 1-2%.
As características que definem a vulnerabilidade da placa estão relacionadas à ocorrência de eventos isquêmicos independentemente do grau de estenose, tanto em pacientes sintomáticos quanto em assintomáticos. A presença de hemorragia intraplaca, por exemplo, foi associada a um aumento de seis vezes no risco de evento cardiovascular.
– Placa determinando estenose severa e baixo risco de rotura
Vários estudos já demonstraram que as calcificações são um fator estabilizador da estenose carotídea, mais comum em pacientes assintomáticos que sintomáticos, associadas a menores índices de inflamação, acúmulo de macrófagos, neovascularização e hemorragia intraplaca, o que suporta seu uso como ferramenta de estratificação de risco por imagem.
PROGRESSÃO E REGRESSÃO DA PLACA
Os métodos de imagem atuais (US, TC e RM) permitem a visualização direta da parede vascular e da composição da placa durante a evolução do processo de aterosclerose. O aumento da espessura da placa, a modificação de seus componentes e indicadores de vulnerabilidade estão relacionados ao aumento de risco de eventos cerebrovasculares e cardiovasculares futuros. A visualização direta da placa também permite a monitorização da resposta ao tratamento clínico, permitindo sua individualização.
Um estudo prospectivo em pacientes assintomáticos com estenoses moderadas demonstrou que o tamanho do LRNC determinou o risco de futura rotura da superfície da placa, sugerindo que a instauração urgente de terapia antilipêmica pode prevenir a transformação de uma placa estável em uma placa instável. A avaliação anual da placa por RM de alta resolução é útil no monitoramento da terapia, sendo capaz de demonstrar a redução do LRNC e o aumento do conteúdo fibroso, que precedem a redução do volume da placa.
ATUALIZAÇÃO DA TERAPIA MEDICAMENTOSA: EVIDÊNCIA E IMPACTO
Já foi demonstrado que um grupo de fatores de risco potencialmente modificáveis (HAS, atividade física, dislipidemia, dieta, obesidade, fatores psicossociais, tabagismo, consumo de álcool, diabetes mellitus e certas causas cardíacas) são responsáveis por 90% dos riscos populacionais para o AVCi, e algumas classes de medicamentos impactam significativamente estes fatores. A seguir, exploraremos as evidências mais recentes no uso da imagem e seu impacto na terapia medicamentosa para a prevenção do AVC.
– Terapia antilipêmica: estudos demonstraram que o tratamento com estatinas em altas doses reduz a chance de AVCi no grupo de ateromatose de alto risco em 21%. O uso desta classe de medicamentos também está associado à redução do risco de eventos cardiovasculares não fatais e de AVCi em indivíduos saudáveis com LDL < 130 mg/dL e PCR > 2 mg/L. Dois estudos randomizados mostraram melhor prognóstico cardiovascular com a adição de outras duas drogas antilipêmicas não estatinas: ezetimibe e evocolumab. A duração do tratamento antilipêmico está associada à regressão da neovascularização da placa aterosclerótica, sabendo-se que o uso de estatinas reduz significativamente a neovascularização após 3 meses.
– Terapia antiagregante plaquetária: as evidências indicam benefício do uso de AAS nas primeiras 48h após um AVCi, sem benefício após 2 meses. Não houve benefício demonstrado com o tratamento de dupla antiagregação (AAS + clopidogrel) nos pacientes que tiveram um AVCi, e esta combinação está associada a aumento da incidência de eventos hemorrágicos. Um estudo publicado em 2019 demonstrou a utilidade da terapia antiagregante para evitar a formação de placa e a consequente progressão da espessura da camada íntima/média avaliada por US.
– Terapia anticoagulante: Em 2017, o estudo COMPASS demonstrou benefício na associação de AAS e rivaroxabana, com redução de 50% do risco relativo na incidência de AVCi. Mais recentemente, o estudo NAVIGATE ESUS demonstrou, em pacientes com evidência clínica ou radiológica de aterosclerose, que as taxas de recorrência de AVCi foram similares entre os pacientes que receberam rivaroxabana ou AAS.
– Terapia anti-inflamatória: a aterosclerose é considerada uma doença inflamatória crônica da parede arterial. Desta forma, estratégias anti-inflamatórias estão cada vez mais sendo consideradas para reduzir o risco cardiovascular: canaquinumabe e colchicina são dois fármacos utilizados neste sentido.
ESTRATÉGIAS SUGERIDAS
A estratificação de risco é importante para estimar o seu risco individual e identificar de quais tratamentos os pacientes mais se beneficiariam, assim como para fazer a identificação de quão urgentes são as intervenções medicamentosas necessárias para reduzir ou reverter a progressão da doença.
Já existem dados suficientes suportando a incorporação da imagem da placa na condução terapêutica da doença aterosclerótica, sendo necessária a modificação das diretrizes atualmente existentes. Segue abaixo o algoritmo que resume a proposta de modificação:

Gostou deste skycast premium? Deixe seus comentários e sugestões nas nossas redes sociais! Grande abraço e até o próximo!
